De curând s-au împlinit 12 luni de la montarea aparatului fix
pe arcada superioarã şi aproape 9 de la montarea celui de pe mandibulã.
Cu o sãptãmânã înainte de acest moment am avut o nouã activare la doamna doctor ortodont nr. 1. Chiar dacã îmi e mai greu sã cãlãtoresc aproape lunar în ţarã, am înţeles cã tratamentul a intrat într-o fazã în care e nevoie de foarte multe ajustãri de fineţe şi de decizii terapeutice ferme pe care doar medicul meu curant le poate lua, de vreme ce doamna doctor ortodont nr. 2 din localitatea mea de reşedinţã nu doreşte sã îşi asume responsabilitatea pentru strategia terapeuticã (ceea ce e de înţeles, pânã la urmã, vorba proverbului, prea mulţi bucãtari stricã mâncarea.) Pe de altã parte, recunosc şi cã am ajuns sã am dubii serioase privind abilitãţile şi profesionalismul doamnei doctor ortodont numãrul 2 dupã ce mi-a fãcut mai multe recomandãri greşite. Şi dacã mai adaug şi faptul cã tarifele practicate de doamna doctor ortodont nr. 2 sunt astronomice, e lesne de înţeles cã prefer sã bat mii de kilometrii şi sã petrec nopţi întregi pe drum pentru a ajunge la un medic competent şi care îşi dã tot interesul pentru bunul mers al tratamentului.
Cu o sãptãmânã înainte de acest moment am avut o nouã activare la doamna doctor ortodont nr. 1. Chiar dacã îmi e mai greu sã cãlãtoresc aproape lunar în ţarã, am înţeles cã tratamentul a intrat într-o fazã în care e nevoie de foarte multe ajustãri de fineţe şi de decizii terapeutice ferme pe care doar medicul meu curant le poate lua, de vreme ce doamna doctor ortodont nr. 2 din localitatea mea de reşedinţã nu doreşte sã îşi asume responsabilitatea pentru strategia terapeuticã (ceea ce e de înţeles, pânã la urmã, vorba proverbului, prea mulţi bucãtari stricã mâncarea.) Pe de altã parte, recunosc şi cã am ajuns sã am dubii serioase privind abilitãţile şi profesionalismul doamnei doctor ortodont numãrul 2 dupã ce mi-a fãcut mai multe recomandãri greşite. Şi dacã mai adaug şi faptul cã tarifele practicate de doamna doctor ortodont nr. 2 sunt astronomice, e lesne de înţeles cã prefer sã bat mii de kilometrii şi sã petrec nopţi întregi pe drum pentru a ajunge la un medic competent şi care îşi dã tot interesul pentru bunul mers al tratamentului.
Am avut parte de cea mai rapidã activare de
pânã acum la doamna doctor ortodont nr. 1. De aceastã datã am stat în jur de 30 de minute, timp în care mi-a schimbat ambele arcuri şi, evident, ligaturile aferente. M-a examinat
din diferite unghiuri sã vadã exact în ce stadiu se aflã lucrurile, i-am împãrtãşit grijile mele legate de caninul superior drept care, dupã ce cã e situat mai
jos decât omologul sãu stâng, mai are si o formã angularã care îi dã un inconfundabil aspect de colţ de vampir. Doamna doctor mi-a încãrcat ambele arcuri cu o mulţime de informaţii, ceea ce a dus si la un uşor disconfort în urmãtoarele 2-3 zile. În limbajul neiniţiaţilor, doamna doctor mi-a deformat fiecare arc în dreptul dinţilor care mai trebuie încã sã suporte transformãri, pentru a îi determina astfel fie sã urce, fie sã coboare,
sã se roteascã, sã se mişte mai în faţã sau mai în spate şi tocmai de aceea a durat o simplã schimbare de arcuri atât de mult. Mi-a schimbat
şi regimul elasticelor pe partea dreaptã. Dacã
pe partea stângã trebuie sã mai aşteptãm ca ocluzia sã se închidã complet (si elasticele sunt necesare în acest proces), pe partea dreaptã muşcãtura e deja ok, dar purtarea unilateralã a elasticelor
poate duce la devierea mandibulei în plan orizontal. Aşadar, pentru a contracara tensiunea provocatã de cele douã elastice pe care
le port în continuare pe partea stângã şi pentru a nu periclita simetria medianã proaspãt obţinutã, port un elastic în triunghi şi pe partea dreaptã, de la primul premolar superior
la premolarul 1 şi 2 inferiori.
![]() |
| 12 luni de la montarea aparatului dentar pe maxila |
![]() |
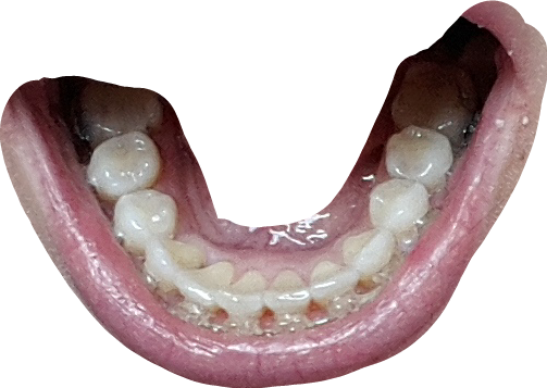
| 8,5 luni de la montarea aparatului mandibular |
![]() |
| Elasticul de pe partea dreapta |
![]() |
| Cele doua elastice care ajuta la inchiderea ocluziei pe partea stanga |




Niciun comentariu:
Trimiteți un comentariu